Les Sarcomes des Tissus Mous (STM) sont des tumeurs mésenchymateuses issues des tissus conjonctifs ou tissus mous; ils se développent dans n’importe quelle localisation corporelle, mais fréquemment dans la peau et les tissus sous-cutanés.
Les STM représentent entre 8 et 15% de toutes les tumeurs cutanées et sous-cutanées du chien. Ils se développent particulièrement chez les chiens d’âge moyen et chez les vieux chiens, de races moyennes à grandes.
Les pathologistes du laboratoire vétérinaire LAPVSO ont lu pour vous :
Prognostic factors for Cutaneous and Subcutaneous Soft tissue sarcomas in Dogs
M.M. Dennis, K.D. McSporran, N.J. Bacon, F.Y. Schulman, R.A. Foster and B.E. Powers Vet Pathol, 2011, Jan, 48(1):73-84.
Les facteurs pronostiques des sarcomes des tissus mous, cutanés et sous-cutanés, chez le chien

Les Sarcomes des Tissus Mous (STM) comme ayant un bon pronostic global, (médiane de survie entre 1013 jours et 1416 jours, selon les études) avec un risque de récidive faible (variant de 7 à 30% selon les études).
Néanmoins, en dépit de ce pronostic globalement favorable, les STM regroupent en réalité des tumeurs dont le comportement biologique est variable; le principal problème est donc de parvenir à définir les critères permettant d’identifier les quelques tumeurs au comportement agressif et/ou au risque de métastase élevé, ceci afin d’adapter au mieux la stratégie thérapeutique (chirurgie agressive, thérapeutique adjuvante ou non…).
Les auteurs font le point sur la nomenclature des STM, et passent en revue de façon critique les données publiées jusqu’à maintenant. Ils proposent ensuite un système de grading et tentent d’élaborer un consensus dans l’approche de ces tumeurs.
Nomenclature
Les auteurs soulignent que les STM du chien constituent en réalité un groupe d’exclusion. Certains sarcomes des tissus mous, plus facilement identifiables et au comportement biologique mieux défini, sont exclus de ce groupe. Il s’agit :

Les tumeurs regroupées dans le groupe des STM incluent des tumeurs pour lesquelles le tissu d’origine est difficile à déterminer et qui présentent généralement des caractéristiques architecturales communes, les rendant difficiles à différencier les unes des autres. Ce groupe inclut donc :

Les auteurs soulignent que pour le moment, il n’existe pas de marquages immunohistochimiques utilisables en routine, capables de différencier facilement les tumeurs les unes des autres.
Cette difficulté d’identification explique la multiplicité des termes employés par les pathologistes pour nommer une même tumeur. On peut citer les termes d' »hémangiopéricytome », de « tumeur de la paroi vasculaire », de « sarcome à cellules fusiformes », de « tumeur à cellules fusiformes des tissus mous » voire de « tumeur de la gaine des nerfs ».
Les auteurs soulignent l’absence de consensus actuel quant à la nomenclature de ces tumeurs.
Les limites rencontrées par les études pronostiques
Les auteurs se sont ensuite attachés à passer en revues les données bibliographiques existantes. Leur analyse est sans appel et ils concluent à une absence de données réellement fiables quant à l’évaluation des facteurs pronostiques des STM du chien.
Selon les auteurs, les principaux des défauts des études menées jusqu’à présent incluent :

Les auteurs soulignent donc la nécessité de mener des études plus approfondies sur les facteurs pronostiques et de suivre une méthodologie rigoureuse et parfaitement définie.
Facteurs pronostiques
Les auteurs passent ensuite en revue les différents facteurs pronostiques considérés jusqu’ici comme pertinents :

Leur conclusion est qu’aucun facteur pronostique ne peut prédire à lui seul le comportement d’une tumeur, ni déterminer le choix de la conduite thérapeutique à tenir, à l’exception de l’index mitotique qui semble représenter à lui seul un facteur prédictif négatif sur le temps de survie. Là encore, les effectifs utilisés dans les études étant faibles, les données précises devront être confirmées. L’index mitotique ne permettant pas en revanche d’évaluer à lui seul le risque de récidive, ils préconisent donc l’utilisation d’un grading histologique.
Ils soulignent également que la faible reproductibilité des études quant à l’appréciation des marges d’exérèse, le terme de marges « proches » ou « étroites » étant par exemple utilisé de façon très diverse et recouvrant des marges allant de moins d’1 mm à 10 mm…

Ce grading des STM du chien a déjà été utilisé et permet de disposer de quelques données préliminaires. Les auteurs soulignent là encore que les données ne sont que parcellaires ou issues d’effectifs limités et invitent donc à prendre ces données avec beaucoup de précaution.

Les auteurs rappellent que la faible taille des effectifs étudiés, que l’absence de détection précise d’une extension métastatique chez les animaux atteints, qu’une durée trop courte de suivi de ces animaux, peuvent considérablement affecter l’évaluation statistique de la survie des animaux, et ne pas autoriser la perception de risques significativement différents de récidive locale entre les différents grades histologiques. Ainsi, en dépit d’un risque métastatique non négligeable pour les STM de grade III, les auteurs soulignent que leur absence de répercussion sur la survie des animaux atteints pourrait s’expliquer par le fait que les STM sont des tumeurs de croissance lente, qui peuvent être gérées localement sans affecter la qualité de vie de l’animal, que les métastases sont également lentes à se développer et peuvent donc ne pas affecter la survie. Les animaux concernés sont le plus souvent âgés et susceptibles de décéder d’autres causes avant que des récidives locales ou des métastases ne surviennent et n’entraînent une issue fatale.
Quelle reproductibilité de ce grading ?
Les auteurs soulignent que la détermination du grade histologique d’un STM est en soi une analyse subjective, sujette à des variations à la fois pour un même observateur, mais également d’un observateur à un autre, ce qui entrave la transposition des résultats des études de recherche, à la pratique clinique courante et que donc la reproductibilité de ce grading chez le chien reste à démontrer notamment en ce qui concerne l’appréciation du score de différenciation.
Proposition d’un guide d’utilisation de ce grading chez le chien
Les auteurs de l’article proposent un guide pour améliorer la reproductibilité de ce grading chez l’animal :
- Les zones soumises au grading doivent être bien fixées, non inflammatoires, ni hémorragiques
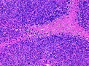
- L’IM doit être le nombre de mitoses pour 10 HPF (x400) mesuré dans la portion la plus cellulaire de la tumeur et la plus mitotique. Si le nombre atteint est proche du seuil il faut recommencer pour confirmer le score obtenu. On doit éviter les zones nécrotiques, hypocellulaires ou ulcérées (Fig 1).
- La nécrose doit être différenciée des remaniements mucineux, hyalins, hémorragiques ou traumatisés par la chirurgie ou la technique biopsique (Fig 2)


- L’appréciation du critère « différenciation » est une combinaison entre le type histologique et la vraie différenciation. Habituellement le type hisitologique d’une tumeur est déterminé par l’architecture et apprécié au faible grossissement (cf Tableau I pour les types histologiques classiques)
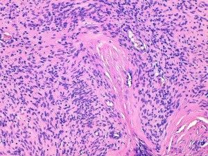
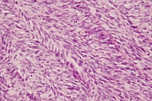
- Si un type histologique est reconnu, il s’agit soit d’un score 1 (bien différencié) (Fig 3,6,8,11) soit d’un score 2 (peu différencié) (Fig 4,7,9,12). Les tumeurs bien différenciées sont celles qui ressemblent le plus au tissu mésenchymateux adulte mature (Fig 3,6,8,11). Au contraire, les tumeurs peu différenciées ont peu de ressemblance avec le tissu mésenchymateux mature normal, même si elles peuvent être d’un type histologique particulier. Si le type d’une tumeur ne peut être établi ou si l’architecture de la tumeur est difficile à identifier, il s’agira d’une tumeur indifférenciée par définition et de score 3 (Fig 5,10). Les auteurs insistent sur le fait que le score de différenciation n’a rien à voir avec une histogenèse incertaine (ainsi si les tumeurs péri-vasculaires ou les PNSTs ont une histogenèse encore controversée, mais elles ressemblent néanmoins à un tissu mésenchymateux mature normal et ne doivent pas systématiquement se voir attribuer le score de 3 si leur architecture typique est correctement identifiable).










Les auteurs soulignent que, pour mieux clarifier les corrélations existant entre « grade histologique » et « risque métastatique », il est nécessaire de conduire des études statistiques complémentaires reposant sur un protocole de suivi détectant et confirmant la survenue de métastases, c’est-à-dire s’appuyant sur un examen histologique post-nécropsique ou de biopsies tissulaires et non uniquement sur un examen clinique et sur l’imagerie médicale ou des examens cytologiques, qui peuvent conduire à surestimer le risque métastatique.
De même, les animaux perdus de vue, l’absence d’autopsie et l’absence de suivi suffisamment long peut sous-estimer ce risque métastatique et ce biais est tout particulièrement à craindre en matière de STM dont l’évolution métastatique peut être plus longue à se manifester (après 3 ans d’évolution par exemple), les métastases pouvant en outre n’avoir aucune manifestation cliniquement détectable et demeurer silencieuses. Ces études devront également évaluer clairement la relation entre survie et métastases.

Les auteurs concluent que :

Les auteurs soulignent à nouveau la nécessité d’études statistiques complémentaires :
- Pour établir la corrélation entre le temps de survie et le degré de résection chirurgicale ou la qualité des marges d’exérèse chirurgicale
- Pour déterminer quels sont les risques précis de récidive locale en fonction de la qualité de ces marges
- Pour asseoir des méthodes valables d’évaluation des marges
- Pour déterminer les potentiels métastatiques et les médianes de survie propres à chaque grade histologique
- Pour diagnostiquer précisément le type histologique afin de déterminer s’il est pertinent de continuer à étudier les STM en tant que groupe de tumeurs
- Pour déterminer l’utilité éventuelle d’autres critères (marqueurs de prolifération, volume ou taille tumorale, localisation tumorale, type histologique, infiltration ou degré d’invasion, profil cytogénétique) en tant qu’outils pronostiques
Les auteurs espèrent voir à l’avenir se développer des techniques innovantes comme la biologie moléculaire pour pouvoir disposer de nouveaux outils à valeur pronostique pour les STM du chien comme cela est le cas pour les STM de l’homme.
Extrait du Tableau I de l’article : Quelques critères distinctifs de différenciation parmi les STM du chien

Extrait du Tableau II de l’article : Système de grading histologique pour les STM cutanés et sous-cutanés du chien d’après Trojani et al 1.

Extrait du Tableau III de l’article : pronostic des STM canins sous-cutanés et cutanés en fonction du grade histologique et de la qualité des marges d’exérèse chirurgicale
Marges étroites* : la distance entre les cellules tumorales et les marges d’exérèse est < 3 mm ou les marges d’exérèse ne comporte pas d’autre tissu sain que la pseudo-capsule périphérique de la tumeur
Marges complètes** : la distance entre les cellules tumorales et les marges d’exérèse est > 3 à 5 mm. Aucun risque précis ni de récidive locale, ni métastatique, n’a été évalué en corrélation avec le grade histologique et la qualité des marges d’exérèse chirurgicale.

Références bibliographiques à retenir
- Trojani M, Contesso G, Coindre JM, Rouesse J, Bui NB, de Mas- carel A, Goussot JF, David M, Bonichon F, Lagarde C: Soft-tissue sarcomas of adults: study of pathological prognostic variables and definition of a histopathological grading system. Int J Cancer 33:37–42, 1984.
- Kamstock DA, Ehrhart EJ, Getzy DM, et al: Recommended guidelines for submission, trimming, margin evaluation and reporting of tumor biopsy specimens in veterinary surgical pathol- ogy. Vet Pathol 48(1) 19-31.
Commentaires & remarques de lecture de l’article
Le grading histologique de Trojani et al (1980) place en score de différenciation 3 les sarcomes indifférenciés et les sarcomes peu différenciés dont le diagnostic de type histologique n’est pas certain et donc contestable, mais également des sarcomes qui sont exclus du groupe des STM cutanés et sous-cutanés du chien défini par la nomenclature de cet article, par exemple les rhabdomyosarcomes et les synovialosarcomes. Le terme « sarcome des tissus mous » n’est donc pas utilisé de la même façon chez le Chien et chez l’Homme.
Il précise aussi quelle doit être la technique rigoureuse de comptage des mitoses (d’après Tumeurs des Tissus Mous – Groupe Sarcomes FNCLCC, Tome II – 2004, Facteurs pronostiques des sarcomes des tissus mous, 493-511) que ne rappelle pas en détail l’article :
Rechercher, à un grossissement intermédiaire (G x 250), la zone la plus mitotique en balayant toute la surface tumorale notamment en périphérie.
Compter au grossissement 400 dans le champ où il y a le plus de mitoses puis compter les mitoses dans 10 champs consécutifs choisis au hasard.
Ne retenir que les figures de mitoses caractéristiques, qu’elles soient normales ou non. Les pycnoses et les figures de mitoses douteuses ne seront pas retenues.
La surface du champ de référence au grossissement 400 (objectif 40) définie pour ce grading est de 0,174 mm2 : il est important de mesurer la surface d’un champ au grossissement 400 pour son microscope car celle-ci peut varier du simple au triple selon les microscopes et leur optique.Lorsque le nombre de mitoses est limite inférieure pour un score (7 à 10 et 18 à 20), il est conseillé de réaliser 3 ou 4 évaluations de 10 champs et de ne retenir que le compte le plus élevé.
Le grading ne doit pas remplacer le diagnostic de type histologique : il ne permet en aucun cas de différencier une lésion bénigne d’une tumeur maligne et, avant de grader une tumeur des tissus mous, le pathologiste doit être sûr de sa malignité. En effet, des lésions bénignes pseudosarcomateuses, telles les fasciites nodulaires ou prolifératives présentent souvent des signes histologiques de malignité, tel un index mitotique élevé, et si on leur appliquait le grading elles pourraient être de haut grade.
Le grading n’est pas applicable à tous les sarcomes. Sa valeur pronostique a été démontrée pour les sarcomes des tissus mous de l’adulte chez l’Homme.
Le grading doit être établi sur la tumeur primitive non traitée. En effet, une radiothérapie et/ou une chimiothérapie peuvent augmenter la nécrose, diminuer l’index mitotique et même induire des modifications dans la différenciation.
D’autres articles d’histologie et cytologie vétérinaires sont disponibles sur www.lapvso.com
