Le cas présenté dans cet article décrit la gestion chirurgicale d’un chondrosarcome de la scapula diagnostiqué chez un boxer avec préservation du membre.
Les tumeurs de la scapula sont rarement rencontrées chez le chien. Dans une étude rétrospective de 2013 portant sur 41 cas avec diagnostic anatomo-pathologique de la tumeur, l’ostéosarcome est la plus fréquemment rencontrée (27/41). Sont également rencontrés les sarcomes des tissus mous (7/41), les chondrosarcomes (4/41), les hémangiosarcomes (2/41) et les sarcomes histiocytaires (1/41) 1.
Les tumeurs osseuses appendiculaires, notamment de la scapula, sont classiquement traitées par amputation. Cependant, une amputation provoque des modifications de la démarche, encore plus marquée lors de l’amputation d’un membre thoracique. Les chiens portent en effet la majeure partie de leur poids sur les membres antérieurs et il a été montré que suite à l’amputation d’un membre thoracique, le membre controlatéral devait supporter 47% du poids de l’animal 2.
Une alternative à l’amputation est néanmoins possible par exérèse large de la tumeur en conservant le membre. Même si l’espérance de vie est inchangée par rapport à une amputation cela permet de conserver une fonction locomotrice sur le membre atteint. Chez l’homme, il a été montré que la résection de 80% de la scapula ne provoque que des modifications mineures de la fonction articulaire 3. Chez le chien, il a été proposé des résections partielles, subtotales et complètes de la scapula afin de conserver le membre lors d’atteintes tumorales de la scapula 1,4-7.
Cas clinique
Un Boxer femelle de 12 ans est présenté en consultation pour une boiterie du membre antérieur gauche associée à une déformation de l’épaule. Les propriétaires rapportent l’apparition d’une masse ferme sur l’épaule qui grossit régulièrement depuis quelques semaines. La boiterie serait apparue de façon concomitante avec une aggravation régulière.
Examen clinique
L’examen clinique révèle une masse sous cutanée de près de 10 centimètres de diamètre, localisée au niveau de la scapula (fig. 1). La palpation est indolore. La masse apparait ferme, de consistance osseuse, non mobilisable sous la peau.
L’examen orthopédique montre une boiterie d’appui du membre antérieur gauche. La chienne présente des mouvements de circumduction de l’épaule, il n’y a pas de mouvements de flexion-extension de l’articulation, l’angle scapulo-huméral semblant constant au cours des déplacements de l’animal.
La manipulation du membre montre d’importants craquements articulaires à la mobilisation du coude. La mobilisation de l’épaule est rendue difficile par la masse scapulaire qui bloque les manœuvres de flexion-extension. Aucune douleur n’est mise en évidence lors de l’examen.

Examens complémentaires
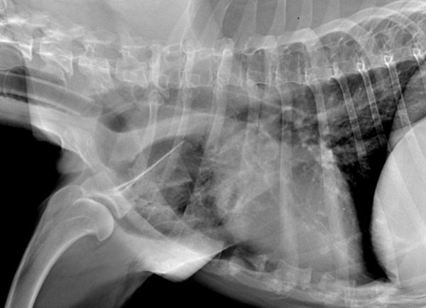
Un examen radiographique est réalisé sur animal vigile. Le coude gauche présente une dégradation arthrosique déjà avancée que l’on retrouve également sur le coude droit. Une déformation des tissus mous est visible en regard de la portion caudale de la scapula. L’articulation scapulo-humérale ne présente pas d’anomalie, seule la scapula présente des modifications de son architecture sur sa face interne avec une corticale effacée, une association d’ostéolyse et d’ostéoproduction (fig. 2 et 3).
Une hypothèse tumorale étant envisagée, un bilan d’extension pulmonaire est réalisé (une radiographie de chaque profil + une radiographie de face) mais ne met aucune métastase en évidence.
Une ponction à l’aiguille fine est réalisée sur animal vigile mais ne permet pas de poser un diagnostic de certitude. L’hypothèse tumorale est bien confirmée mais un doute subsiste entre la présence d’un chondrosarcome ou d’un ostéosarcome.

Traitement
La chienne présentant une arthrose très importante du coude droit et des difficultés locomotrices déjà chroniques, une amputation du membre antérieur gauche est écartée. Il est décidé de réaliser une scapulectomie partielle afin de conserver le membre.
Un abord latéral de la scapula est réalisé. Les muscles thoraciques (dentelés ventral du thorax, trapèze et rhomboïde) sont incisés, ce qui permet de dégager la scapula de la cage thoracique. Les muscles couvrant la scapula sur sa face externe (deltoïde, supra-épineux et infra-épineux) ne semblent pas présenter d’infiltration tumorale.
En revanche la déformation est très nette sur sa face interne en région caudo-ventrale de l’os et prend en masse le muscle sous-scapulaire. Une scapulectomie partielle est réalisée après levée de l’insertion scapulaire du muscle deltoïde.
Les muscles infra-épineux, supra-épineux et sous scapulaire sont laissés en place afin de limiter le risque de dissémination métastatique, ils sont sectionnés en même temps que l’os. Un trait de section est réalisé à la scie oscillante le long de l’épine scapulaire dans la fosse du muscle supra-épineux.
Au 1/3 distal de l’os, un trait de coupe perpendiculaire au premier est réalisé afin de retirer la portion caudo-ventrale de la scapula (fig. 4). Les muscles couvrant l’os sont retirés en bloc en même temps que la scapula (fig. 5). Des tranches osseuses sont réalisées parallèlement aux premiers traits de coupe en vue d’une analyse histologique visant à déterminer les marges tumorales (fig. 6).
Le muscle sous scapulaire sectionné est laissé libre contre le thorax. La portion distale du muscle infra-épineux est suturée aux muscles rhomboïde et dentelés du thorax. Le muscle deltoïde est suturé sur le muscle supra-épineux. La plaie opératoire est fermée classiquement.



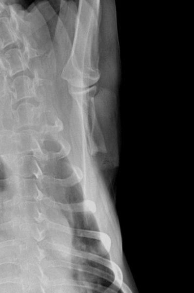
Les radiographies post-opératoires permettent de vérifier les traits de section et l’exérèse large de la portion modifiée de la scapula (fig. 7 et 8). Un pansement compressif est mis en place autour du thorax afin de limiter la formation de sérosités. Il est laissé en place jusqu’au retrait des points 12 jours après l’intervention.


Histologie
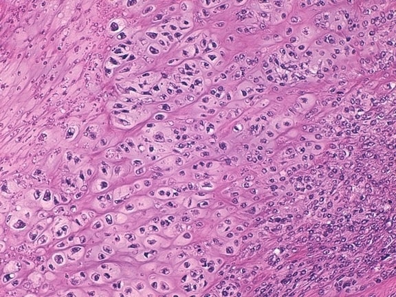
L’analyse histologique met en évidence un chondrosarcome vrai de la scapula (fig. 9). Les marges de section osseuse sont indemnes de cellules tumorales.

Suivi
Une radiothérapie adjuvante à l’exérèse chirurgicale est refusée par les propriétaires. La chienne est placée sous céfalexine pendant 5 jours, méloxicam pendant 10 jours, et tramadol pendant 15 jours. La chienne reprend appui sur son membre dès le lendemain de l’intervention avec une boiterie importante. Le pansement et les points sont retirés à 12 jours après l’intervention (fig. 10). Aucune sérosité n’est apparue. La chienne a retrouvé un appui franc mais conserve un mouvement de circumduction de l’épaule comme avant l’intervention. Aucune douleur n’est mise en évidence à la palpation/mobilisation du membre.

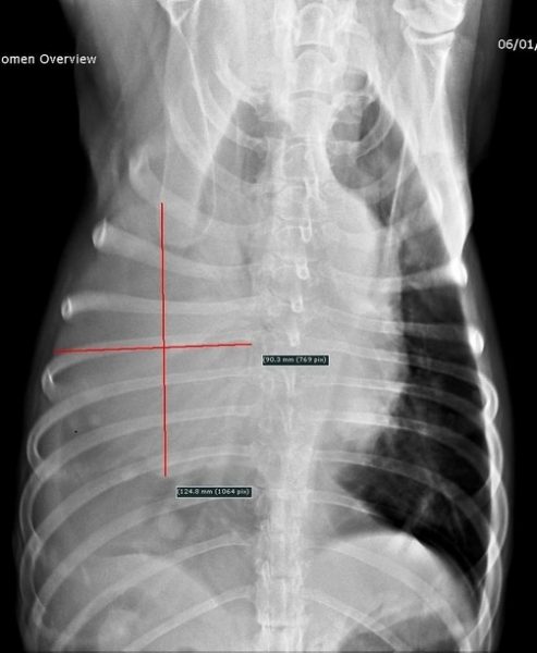
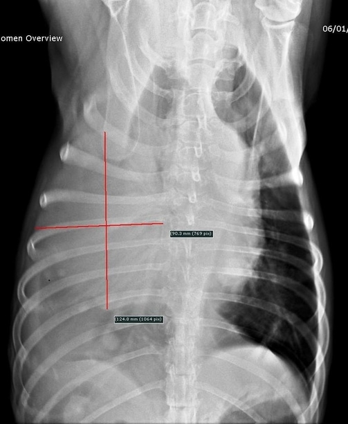
Cinq mois après l’intervention, la chienne est revue en consultation pour détérioration de l’état général et appétit sélectif depuis 10 jours. Une faiblesse généralisée est présente, une dyspnée, une discordance ainsi qu’une légère tachypnée sont notées. Les propriétaires rapportent que la chienne utilise sont membre normalement mis à part le mouvement de circumduction de l’épaule qui n’a jamais disparu. La palpation ne permet pas de mettre en évidence une éventuelle récidive locale de la tumeur ce qui est confirmé par la réalisation de radiographies vigiles (fig. 11).
Au niveau du thorax, en revanche, une très volumineuse masse est présente dans le poumon droit dont le volume est supérieur à celui du cœur (12×9 cm sur la vue de face) ainsi que de plus petites masses métastatiques (fig. 12 et 13). Les propriétaires refusent d’aller plus loin dans les examens (scanner/biopsies…).
La chienne est placée sous corticoïdes et tramadol en attente d’une décision d’euthanasie.
Celle-ci est finalement réalisée 15 jours plus tard soit 176 jours après la chirurgie initiale et plus de 7 mois après l’apparition de la déformation de l’épaule.
Les propriétaires n’ont pas souhaité d’autopsie, il n’a pas été possible de déterminer l’origine de la principale tumeur pulmonaire (métastase du chondrosarcome ou tumeur primitive).



Plusieurs masses tumorales sont présentes dans le poumon droit dont la plus grosse a un diamètre de 12*9 cm sur la vue de face.
Discussion
La scapulectomie est une intervention rarement pratiquée chez les carnivores de compagnie. Au cours des 20 dernières années, seuls 5 articles décrivant la technique et les résultats obtenus ont été publiés soit un total de 54 chiens et 2 chats opérés 1, 4-7.
Selon la localisation de la tumeur et son extension, la scapulectomie peut n’intéresser qu’une portion de la scapula comme dans le cas décrit (scapulectomie partielle), ne laisser en place que la glène et l’articulation scapulo-humérale (scapulectomie subtotale) ou nécessiter l’exérèse complète de la scapula (scapulectomie totale). Il a même décrit des scapulectomies totales associées à une exérèse de l’humérus proximal 1.
Les résultats fonctionnels rapportés dans les premières publications étaient bons voire excellents dans 14/16 cas 4-7. En 2013, une étude rétrospective sur 42 cas a permis d’évaluer l’évolution clinique au cours du temps ; les résultats jugés bons à excellents étaient de 21% à 2 semaines post-opératoire, 39% à 1 mois, 72% à 2 mois et de 100% après 3 mois.
Il faut cependant signaler le nombre décroissant de chiens évalués au cours du temps (ils n’étaient que 9 sur 42 à 3 mois) 1. La récupération post-opératoire doit donc être considérée comme longue pour certains animaux et cela sans relation avec le pourcentage de scapula réséquée lors de l’intervention.
En revanche les animaux lourds ont une récupération plus longue et difficile 1. Dans le cas décrit, la chienne a retrouvé un appui franc en quelques jours seulement. Une circumduction de l’épaule, notée au moment du diagnostic clinique, a demeuré jusqu’à sa fin de vie sans que cela ne gène ses déplacements.
Les tumeurs osseuses affectant la scapula sont les ostéosarcomes, sarcomes des tissus mous, chondrosarcomes, hémangiosarcomes et sarcomes histiocytaires 1, 4-7. Les ostéosarcomes sont incriminés dans les 2/3 des cas. Dans le cas décrit, l’analyse histologie a montré la présence d’un chondrosarcome vrai. La différenciation entre chondrosarcome et ostéosarcome est parfois délicate et peut varier selon l’interprétation de l’anatomopathologiste 1. Les chondrosarcomes présentent une évolution surtout locale et généralement plus lente que pour les ostéosarcomes.
De même le pouvoir métastatique (généralement par voie hématogène) est inférieur à celui des ostéosarcomes : seulement 28% des chiens présentent des métastases, essentiellement pulmonaires 8. L’exérèse large constitue le meilleur traitement des chondrosarcomes. Les marges de sections envoyées pour analyse ont permis de s’assurer d’une exérèse complète dans notre cas.
Les chimiothérapies adjuvantes (cisplatine, carboplatine, adriamycine…) sont décevantes par rapport à ce qui est observé avec les autres tumeurs osseuses primitives et ne sont pas recommandées après exérèse chirurgicale d’un chondrosarcome 9. La radiothérapie post-exérèse est envisageable dans le contrôle local de la croissance tumorale.
La médiane de survie décrite après exérèse est de 979 jours pour un chondrosarcome appendiculaire 8. Dans le cas présenté, l’euthanasie n’a été réalisée que 176 jours après chirurgie en raison d’un envahissement tumoral du poumon droit. Il n’a pas été possible de connaître la nature de cette lésion pulmonaire (métastases du chondrosarcome ou tumeur pulmonaire primitive). Les cas de tumeurs scapulaires rapportées avaient des médianes de survie nettement inférieures à 979 jours mais la majorité des tumeurs rencontrées étaient des ostéosarcomes 1,4-7.
La scapulectomie représente donc une alternative à l’amputation lors d’atteinte tumorale de la scapula. Les résultats fonctionnels post-opératoires sont encourageants même si un recul et un nombre de cas plus importants sont nécessaires avant de la considérer comme une intervention de 1er choix lors de tumeur de la scapula.
Bibliographie
- Montinaro V, Boston SE, Buracco P, et al. Clinical Outcome of 42 Dogs With Scapular Tumors Treated by Scapulectomy: A Veterinary Society of Surgical Oncology (VSSO) Retrospective Study (1995–2010). Vet Surg 2013;42:943-950.
- Kirpenstein J, Van Den Bos R, Endenburg N. Adaptation of dogs to the amputation of a limb and their owners’ satisfaction with the procedure. Vet Rec 1999;144:115-118.
- Gibbons CLMH, Bell RS, Wundr JS, et al: Function after subtotal scapulectomy for neoplasm of bone and soft tissue. J Bone Joint Surg Br 1998;80:38-42.
- Norton C, Drenen CM, Emms SG: Subtotal scapulectomy as the treatment for scapular tumour in the dog: a report of six cases. Aust Vet J 2006;84:364-366.
- Trout NJ, Pavletic MM, Kraus KH: Partial scapulectomy for mana-gement of sarcomas in three dogs and two cats. J Am Vet Med Assoc 1995;207:585-587.
- Kirpensteijn J, Straw RC, Pardo AD, et al: Partial and total scapulectomy in the dog. J Am Anim Hosp Assoc 1994;30:313-319.
- Erdem V, Pead MJ: Haemangio-sarcoma of the scapula in three dogs. J Small Anim Pract 2000;41:461-464.
- Farese JP, Kirpensteijn J, Kik M, et al: Biologic behavior and clinical outcome of 25 dogs with canine appendicular chondrosarcoma treated by amputation: a Veterinary Society of Surgical Oncology Retrospective Study. Vet Surg 2009;38:914-919.
- Waltman SS, Seguin B, Cooper BJ, et al: Clinical outcome of non‐nasal chondrosarcoma in dogs: 31 cases (1986–2003). Vet Surg 2007;36:266-271.
Auteur
Dr. Bertrand Vedrine
Docteur Vétérinaire,
CES de traumatologie ostéo-articulaire et orthopédie animales, DIU de cœliochirurgie
Clinique vétérinaire, 5 Place Cauchoise – 76000 Rouen
Clinique vétérinaire, 26 rue de la République – 76520 Boos

